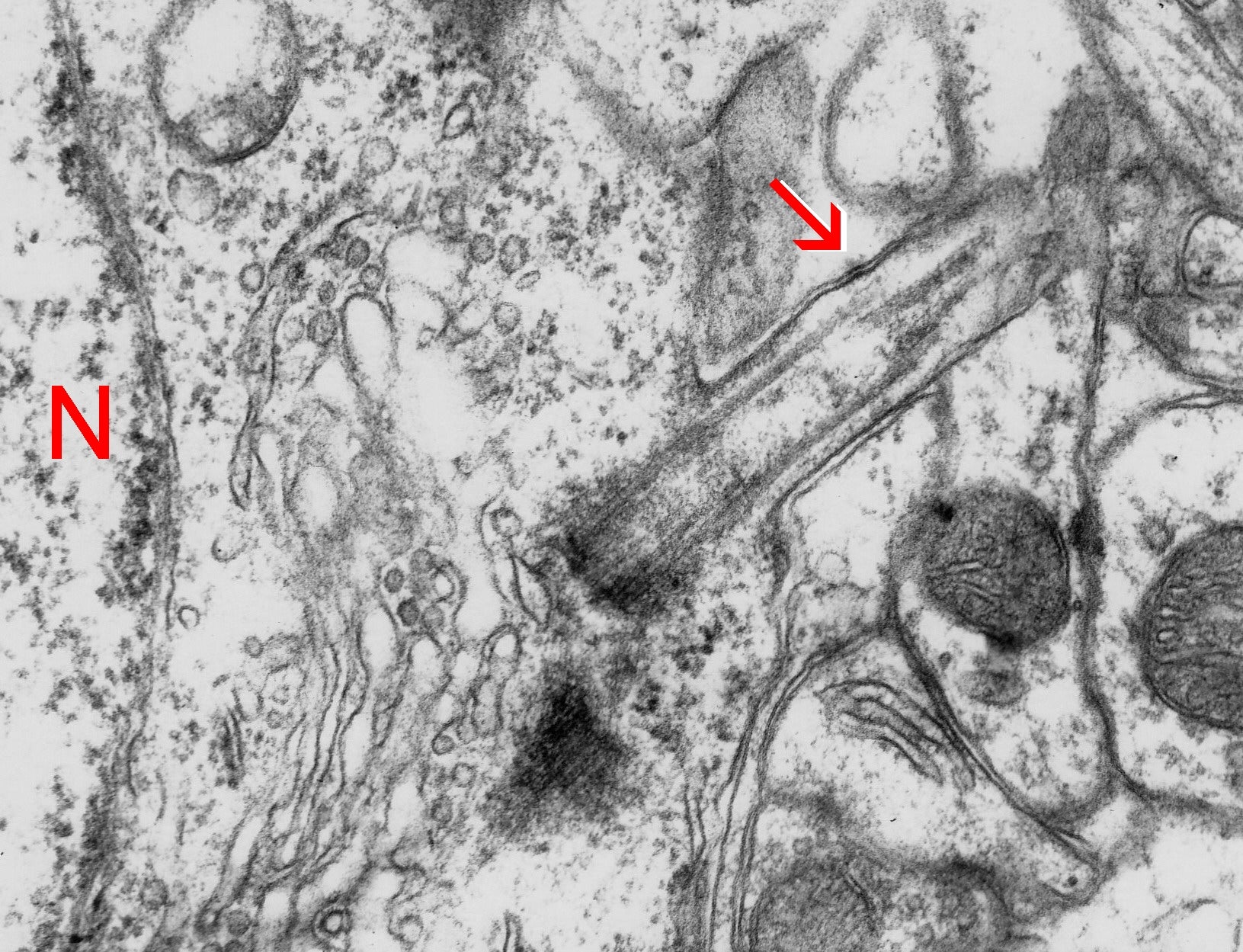
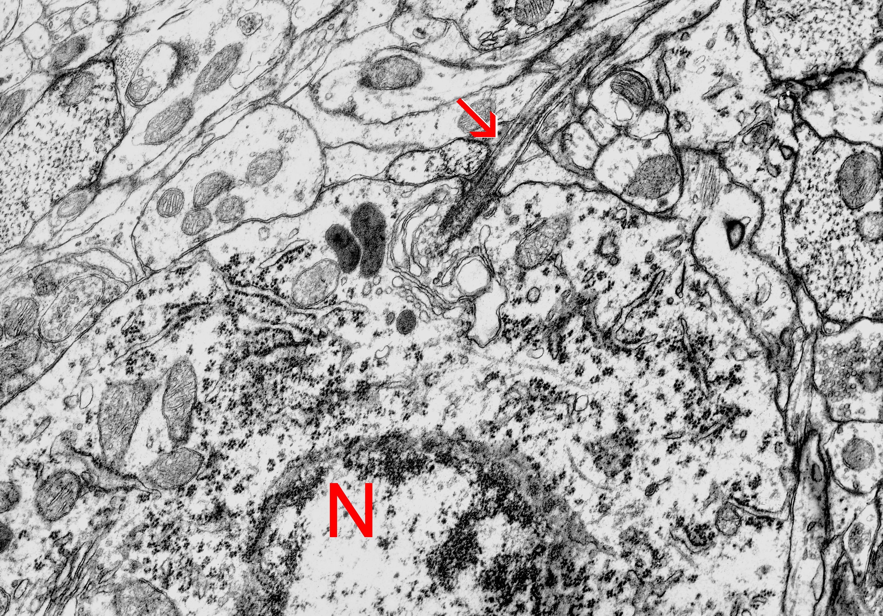
Primary cilium is present on the surface of nearly every cell in the body, including neurons and astrocytes. It grows from the centriole and emanates as a solitary antenna into the extracellular space (arrows – cilium, N – neuronal nucleus).
Primary cilia are non-motile, whereas axoneme of motile kinocilia comprises 9 peripheral doublets and one central pair of microtubules; in the primary cilium this central pair is lacking as well as outer dynein arms. In astrocytes, we observed primary cilium usually imprisoned in the ciliary pocket (blue arrow) inside the cell body:
3D reconstruction of neuronal primary cilium from developing rat brain. One EM image section is shown in the inset (scale cube = 0.5 µm per side).
Although the existence of primary cilia has been known since the end of 19th century, it was either ignored in most biology textbooks or suggested to be a vestigial organelle only. However, specific receptors were recently found in its plasma membrane which can detect and transduce chemical, mechanical, hormonal, or light signals from the surrounding environment into the cell. Thus the fundamental role of the neuronal primary cilium is a non-synaptic signalling mechanism.
Ciliopathies caused by dysfunction of cilia display a range of disorders, including neurological ones.
References:
- Lee J.H., Gleeson J.G. (2009) The role of primary cilia in neuronal function. Neurobiol Dis 38, 167-172.
- Park S.M., Jang H.J., Lee J.H. (2019) Roles of Primary Cilia in the Developing Brain. Frontiers in Cellular Neuroscience, 13, 1-10.
- Whitfield J.F. (2004) The neuronal primary cilium - an extrasynaptic signaling device. Cellular Signalling 16, 763-767.