Endoplasmic reticulum is a membranous organelle formed by a system of continuous channels and flattened sacs within the cytoplasm of cellular bodies and processes. It plays multiple roles in synthesis, processing, and transport of proteins, lipids, and other substances.
Rough endoplasmic reticulum is covered by ribosomes on its cytosol surface (arrow; N - nucleus of a nerve cell):
Smooth endoplasmic reticulum (SER), by contrast, is not associated with ribosomes (arrows; D - dendrite, transversal section; S - dendritic spine):
SER (yellow) in 3D reconstruction of dendrite (gray) (scale cube = 0.2 µm per side):
In dendritic spines, SER regulates the calcium ion concentration, which has been shown to be present at high levels in the spine cytoplasm during synaptic activation. Apart from this function, SER also plays an undetermined role in the synthesis of postsynaptic structural elements.
Below, 3D reconstructions of dendrites (gray), mushroom-shaped spines (black arrows), thin-type spine (blue arrow), and synapses (red) (scale cube = 0.5 µm per side):
In mushroom-shaped dendritic spines on which large synapses of perforated type are located, SER cisterns are joined in a specialized conformation called spine apparatus:
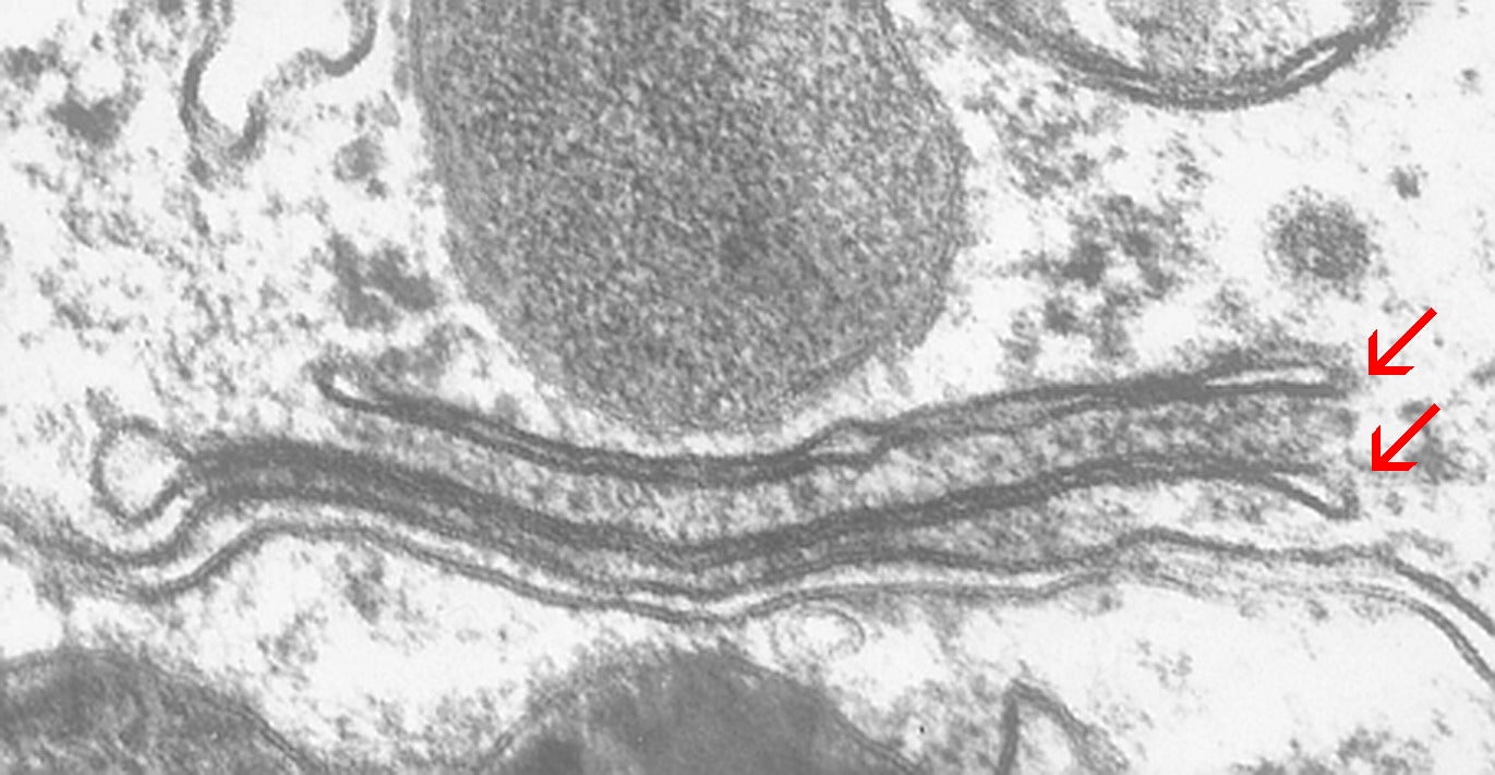
Simple groupings or complex agglomerations of SER may appear, e.g., single or stacked subplasmalemmal cisterns (arrows) or multilamellar bodies (empty arrow):
A medium-dense amorphous material is interposed between cisterns. It contains granular structures remaining ribosomal subunits and it is indistinguishable from that one found in the spine apparatus. As far as we know, little is known about the structure and function of this interposed material in the spine apparatus and nothing at all at subplasmalemmal cisternae and in multilamellar bodies.
Reference:
- Spacek J. and Harris K.M. (1997) Three-dimensional organization of smooth endoplasmic reticulum in hippocampal CA1 dendrites and dendritic spines of the immature and mature rat. J. Neuroscience, 17(1):190-203.