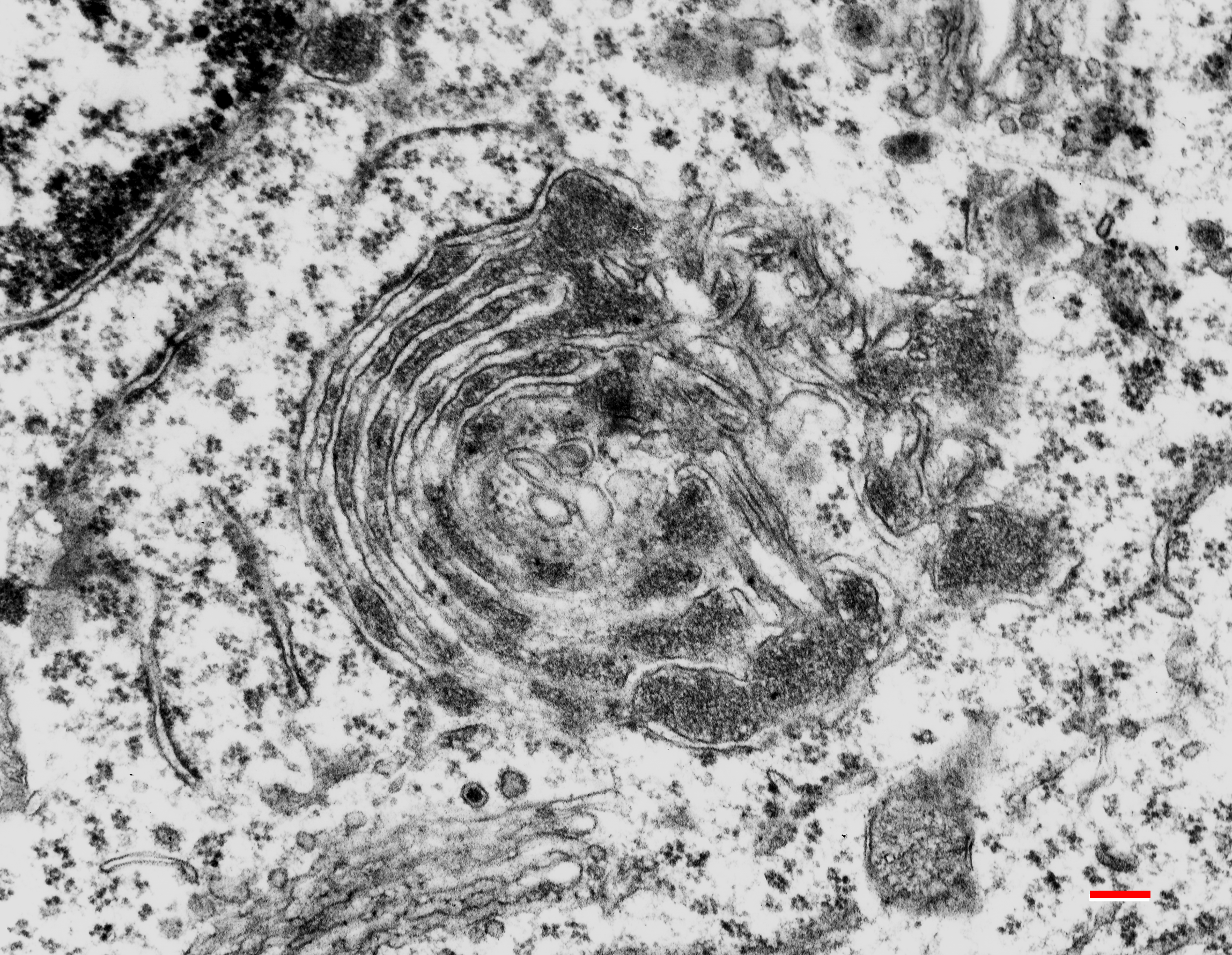
Fig. 7.1.49. An agglomeration of lamellar body and complex convolution in a thalamocortical relay neuron. Download the high resolution image. Scale = 200 nm. (Rat, laterogeniculate nucleus.)
Fig. 7.1.49. An agglomeration of lamellar body and complex convolution in a thalamocortical relay neuron. Download the high resolution image. Scale = 200 nm. (Rat, laterogeniculate nucleus.)