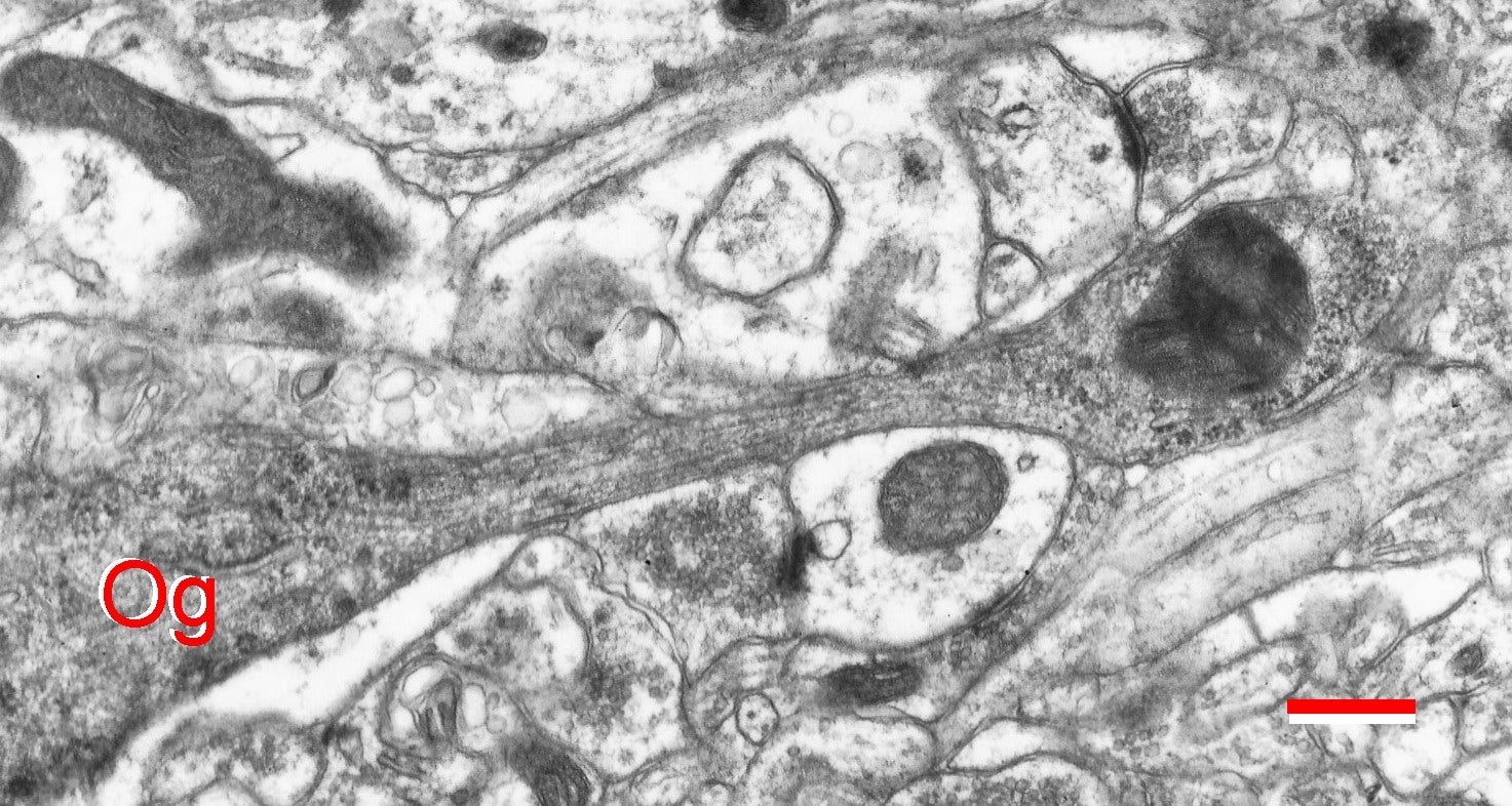
Fig. 2.3.15. Oligodendroglial process (Og) containing a dark lysosome (gliosome). Download the high resolution image. Scale = 0.5 µm. (Rat, thalamus.)
Fig. 2.3.15. Oligodendroglial process (Og) containing a dark lysosome (gliosome). Download the high resolution image. Scale = 0.5 µm. (Rat, thalamus.)