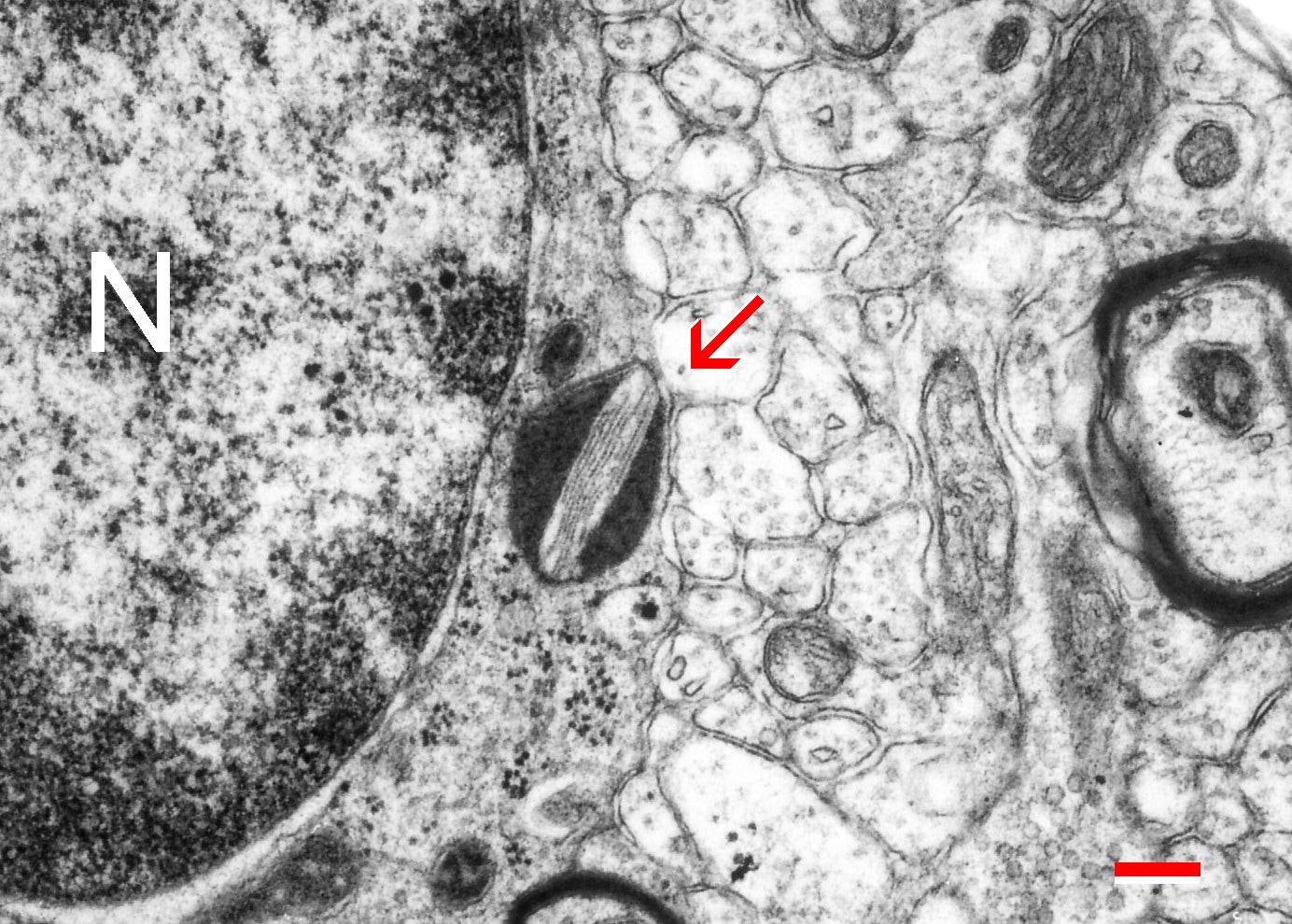
Fig. 2.3.14. Oligodendroglial cell (N - nucleus) with characteristic lamellar lysosome (arrow). Download the high resolution image. Scale = 200 nm. (Rat, thalamus.)
Fig. 2.3.14. Oligodendroglial cell (N - nucleus) with characteristic lamellar lysosome (arrow). Download the high resolution image. Scale = 200 nm. (Rat, thalamus.)