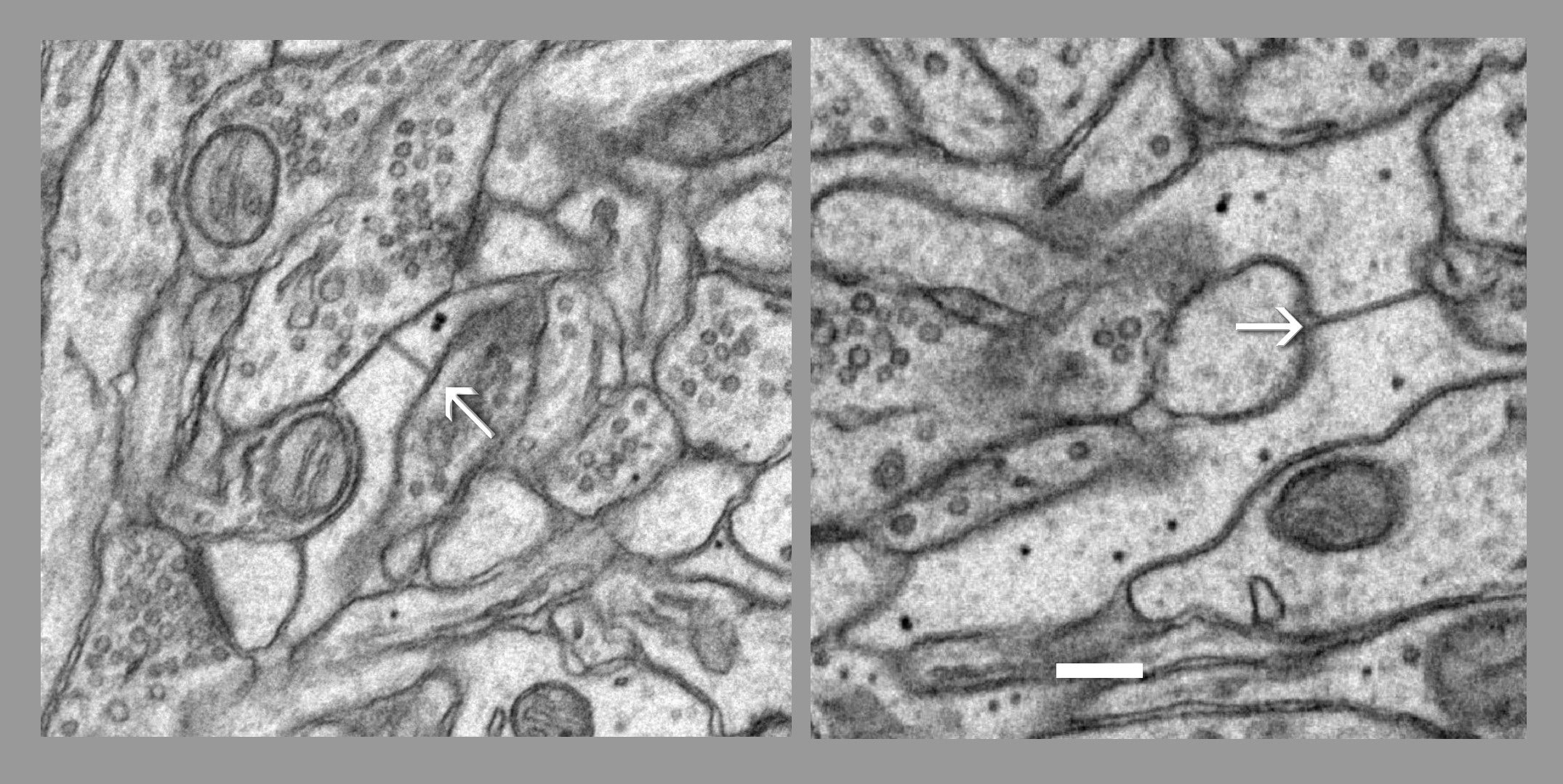
Fig. 2.1.41. Membrane contacts among neigboring processes of astrocytes sometimes look like a straight line (arrows). Scale bar = 200 nm. (Hippocampus, rat.)
Fig. 2.1.41. Membrane contacts among neigboring processes of astrocytes sometimes look like a straight line (arrows). Scale bar = 200 nm. (Hippocampus, rat.)