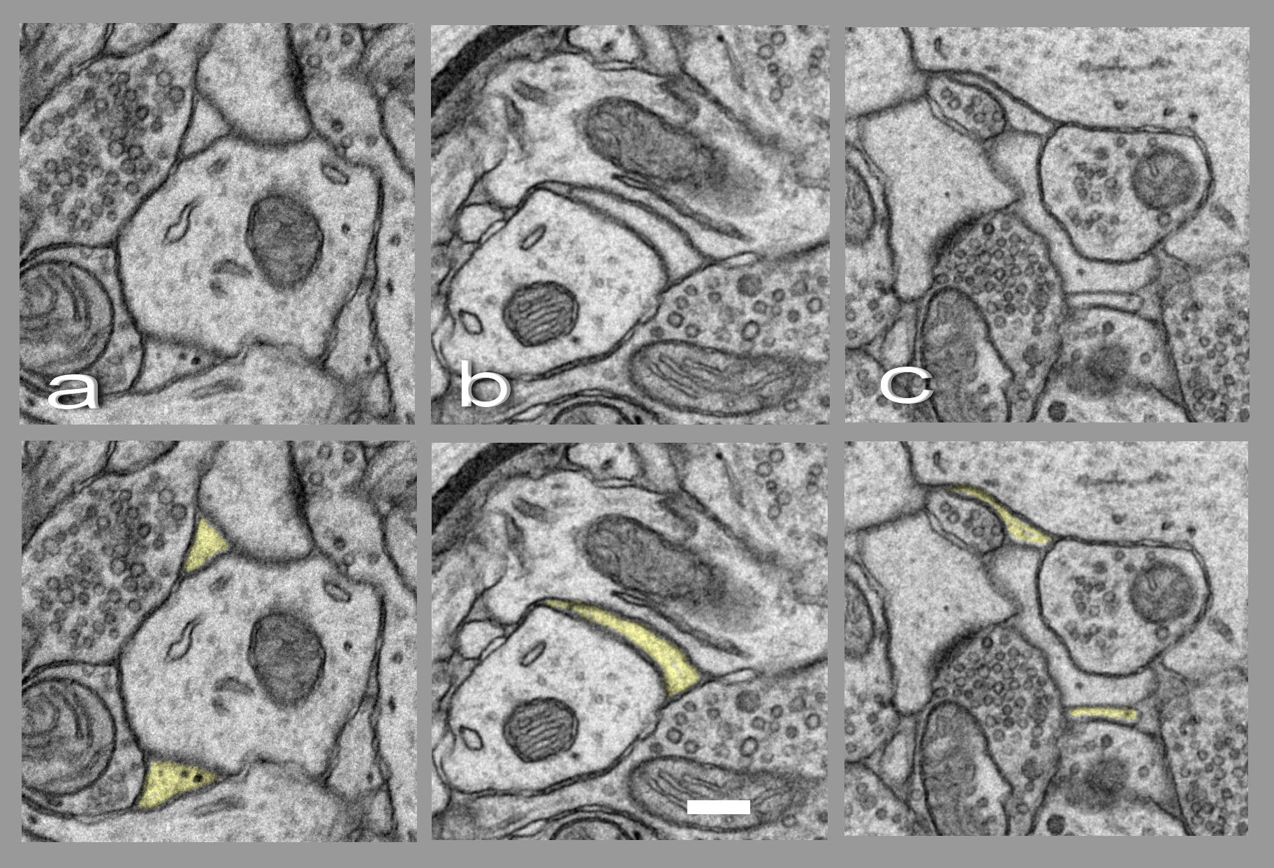
Fig. 2.1.40. Typical profiles of the most peripheral processes of astrocytes: triangular (a), wedge-shaped (b), and ribbon-shaped (often as thin as about 40 nm) (c). Scale bar = 200 nm. (Hippocampus, rat.)
Fig. 2.1.40. Typical profiles of the most peripheral processes of astrocytes: triangular (a), wedge-shaped (b), and ribbon-shaped (often as thin as about 40 nm) (c). Scale bar = 200 nm. (Hippocampus, rat.)