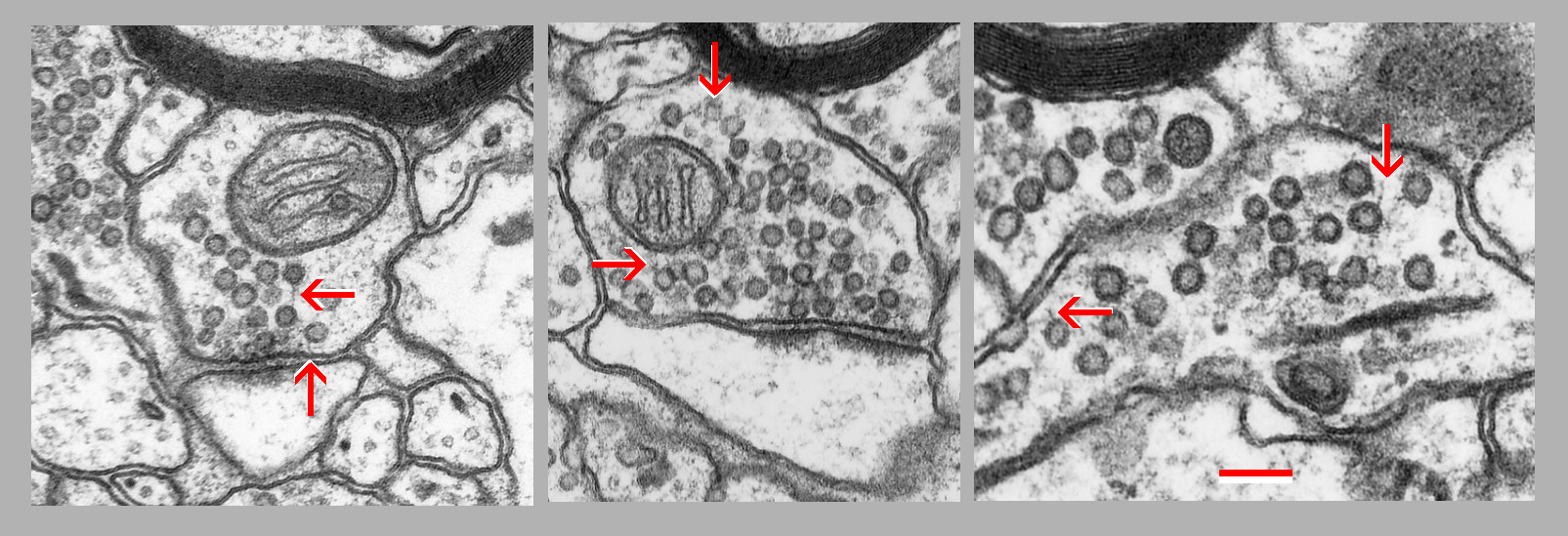
Fig. 1.6.50. Synaptic vesicles can be interconnected one with each other, with mitochondria, or with plasma membrane (arrows). This connection is created by a fine microfilament (up to 5 nm thin). Download the high resolution image. Scale = 100 nm. (Rat, hippocampus.)