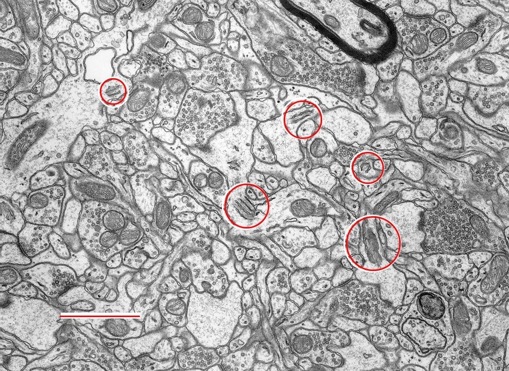
Fig. 1.4.1.63. Five spine apparatuses are captured in this single field of view (circled). They are located in the neck or at the base of the mushroom-shaped dendritic spines. Download the high resolution image. Scale bar = 1 µm. (Hippocampus, rat.)
Fig. 1.4.1.63. Five spine apparatuses are captured in this single field of view (circled). They are located in the neck or at the base of the mushroom-shaped dendritic spines. Download the high resolution image. Scale bar = 1 µm. (Hippocampus, rat.)